
KREIDEZÄHNE
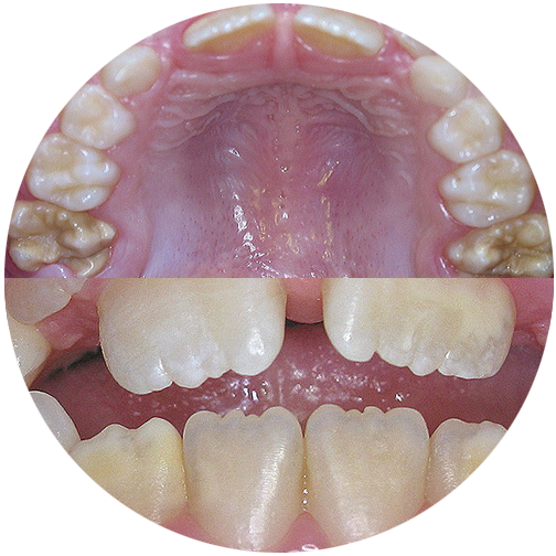
Die Molaren-Inzisiven-Hypomineralisation tritt vor allem bei den ersten bleibenden Backenzähnen (6-Jahr-Molaren) auf. Die Zähne können sehr heiß / kalt empfindlich sein und rasch nach Durchbruch kaputt gehen, so dass eine schnelle Versorgung nötig wird. Oft wird die Behandlung aber durch die starke Empfindlichkeit der Zähne schwer bis unmöglich. Wir haben langjährige Erfahrung in der Versorgung dieser Zähne, die Palette reicht von speziellen Methoden um die Zähne weniger empfindlich zu machen, über die provisorische Versorgung, bis hin zu kompletten Aufbauten mit Kunststoffen oder provisorischen Kronen.
